“医生,我肚子一吃饭就又胀又痛,你帮我看看是怎么回事?”近日,55岁的刘女士因进食后上腹部胀痛不适来到江苏省中西医结合医院普外科主任医师周松阳门诊就诊。
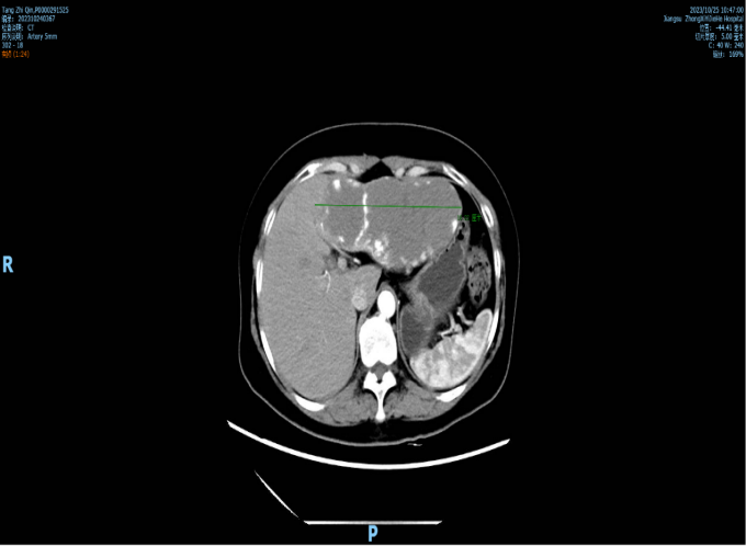
一吃饭腹部就胀痛,CT检查见16厘米肿瘤赫然在目
经CT检查,结果显示刘女士肝脏左外叶处,一个直径达到16厘米的巨大肿瘤赫然在目,最终确诊为血管瘤。肝血管瘤是一种肝脏内大量的动静脉血管畸形构成的团状结构,是最常见的肝脏良性肿瘤,往往是在体检中被人意外发现。
当肝血管瘤较小、未引起身体不适时,暂时不需要手术治疗,只需定期到医院复查肝脏B超即可。但是刘女士肝脏上的瘤体太大,压迫到周围脏器,所以才出现了进食后上腹胀痛的症状。
周主任表示,患者的血管瘤已经完全占据了肝脏左外叶,如果不立刻进行瘤体切除手术,肿瘤只会越长越大,压迫脏器的症状会更加明显。一旦瘤体破裂出现大出血,后果将不堪设想。同患者说明情况后,周主任将其收住入院。

“大切口”改“小创口”,术后第一天就下床活动了
按照常规,如此大体积的肿瘤切除手术,需要采用开腹方式,但开腹手术创伤大、恢复慢,一般会有30-40厘米的伤口。为了减少患者术后的恢复时间及疼痛感,经充分评估,周主任决定此次拆“弹”将采用腹腔镜微创方式进行。
经过精心的术前准备,在麻醉科科主任、主任医师茆庆洪的全力配合下,周主任为刘女士实施了腹腔镜下肝脏肿瘤切除术。

因为肝脏血供丰富,此次手术对于医生的解剖熟悉程度和腔镜操作技术要求都很高,稍有不慎就会造成大出血,影响腔镜下操作视野,甚至最终导致中转进腹行常规开放手术。
周主任凭借多年丰富的临床经验,术中耗时两个多小时,成功从7厘米小切口将16厘米的肿瘤完整取出。由于创伤小、恢复快,术后第一天,刘女士便可以下床活动了。第五天,刘女士就已经顺利出院。
微创手术创伤小、恢复快,用“绣花功夫”解患者燃眉之急
随着微创技术的发展,腹腔镜手术切口隐蔽,外表美观、创伤小、恢复快,使得许多过去的开放性手术被腔镜手术取而代之,大大增加了手术选择机会。
江苏省中西医结合医院普外科是省内较早开展腹腔镜手术的科室。目前常规开展腹腔镜下胃癌、结直肠癌根治术、腹腔镜下肝、脾、胆囊切除术、腹腔镜下胆总管切口取石术、腹腔镜下腹股沟疝修补术等各类腹腔镜手术。在科室所有医护人员的共同努力下,一台台手术的“大切口”变为“小创口”,用“绣花功夫”解患者的燃眉之急。
(《零距离》记者/王华素 编辑/高若婷)


公安备案号:32010202010067