33岁的李女士(化名)在美容机构注射玻尿酸时突然失明,几经辗转来到南京医科大学第二附属医院急诊。医院医疗美容科、眼科、神经内科联合会诊后,迅速制定抢救方案,在进行介入溶栓治疗后,眼动脉血流恢复,李女士迅速恢复光感,经过后续治疗,目前视力得到部分恢复。

注射玻尿酸不当,左眼瞬间失明
为了提升气质、改善容貌、修复缺陷等目的,人们现在到美容机构或医院进行微整形已经是十分常见的事情。然而李女士却因为一针玻尿酸,遭遇了生命不可承受之重。
10月的一天傍晚,李女士在苏中某地区一家美容机构进行面部玻尿酸注射服务。由于不用开刀,可以在短时间内达到美容效果,李女士多次前往美容院注射玻尿酸。然而这一次在注射过程中李女士突然感觉注射部位疼痛难忍,继而出现头晕、恶心、心慌、出冷汗等症状。最为可怕的是李女士的左眼在短短几分钟内就几乎完全失明。
原来是注射时玻尿酸误入血管逆流,导致眼动脉栓塞。经过对症处理,李女士头晕等症状有所好转,但左眼仍然完全失明。
视网膜栓塞,错过黄金抢救时间
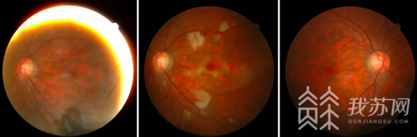
因为事发在晚夜间,李女士辗转多家医院都无法提供有效治疗,经过专业人士介绍,李女士与南京医科大学第二附属医院医疗美容科蔡薇主任取得联系。李女士抱着最后的希望,在事发3小时后来到南医大二附院就诊。眼科张晓俊主任团队第一时间完成眼底等检查后发现,李女士左眼的中央视野缺损严重,视网膜中央动脉几乎完全堵塞。
张晓俊主任介绍,视网膜中央动脉是供应视网膜的主要血管之一,发生堵塞后将会导致视网膜缺血、缺氧,是眼科临床十大急症之一,一旦视网膜血流中断超过90分钟就会造成不可逆的缺血性坏死,从而导致视觉功能急剧下降。堵塞发生5小时,神经细胞将彻底坏死,视力完全丧失,再抢救也无法恢复。因此视网膜中央动脉堵塞5小时内也被称为“黄金抢救时间”。所幸李女士在此时间内就诊,给手术留下了一丝可能。
多学科联合会诊,介入手术成功溶栓

医院迅速组织眼科、医疗美容科、神经内科等科室专家进行多学科会诊。经过充分论证以及和李女士沟通后,决定由神经内科吴晋主任团队采用介入方式进行溶栓治疗。在DSA(数字减影血管造影)下从股动脉穿刺,经颈内动脉直达眼动脉进行玻尿酸溶解酶的注射。该方法可以直达病灶局部进行治疗,避免损伤正常组织,患者痛苦少、创伤小、术后恢复快。所幸手术一切顺利,溶栓后眼动脉血流得到恢复。
溶栓手术的成功并不意味着李女士视力立刻得到恢复,还需要经过药物营养神经、改善微循环等治疗,特别是南医大二附院神经内科配置有高压氧舱,利用高压氧能够有效促进血液循环,改善眼部缺血症状。术后第二天,李女士逐渐恢复光感,第三天能够看到物体轮廓与颜色,至近日李女士出院时其视力已恢复至0.02。
蔡薇提醒各位爱美人士,选择医美项目请一定到具有医疗资质的医疗机构,查看从事医疗美容的医生是否具有临床医师资格证、专业技术证、执业注册证书,来保障自身安全。医疗有风险,医疗美容同样有风险。如果不慎发生意外,请珍惜“黄金抢救时间”,尽快前往具备抢救资质经验的三甲医院进行救治。
(《零距离》记者/王华素 通讯员/时乔 编辑/国正)


公安备案号:32010202010067