鹦鹉热衣原体是一种动物传染性疾病,人类致病主要通过吸入被鹦鹉热衣原体污染的气溶胶,亦或接触感染鸟类的羽毛、组织或排泄物,可导致多器官损伤。近日,51岁的孙女士因高热、重症肺炎难以消退被送至南京市第一医院,这么危险的经历原因是和她养了这个宠物有关。
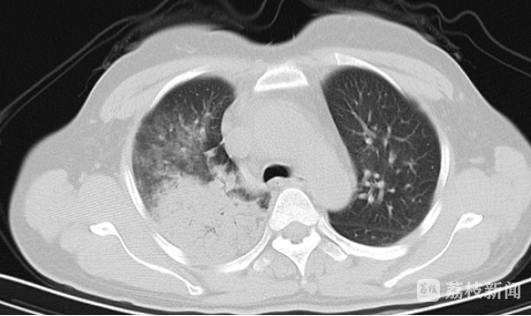
孙女士身体一直很好,突然出现出现畏寒寒战,当时未测体温,伴四肢乏力,走路不稳,测体温为39.9℃,乏力症状较前加重,且有言语混乱。家属将她送到当地医院进行治疗,效果不佳,仍有高热、言语错乱,家属焦急万分,将她送到南京市第一医院呼吸内科进行治疗。入院后,医生予布洛芬退热、抗感染治疗后,孙女士体温可下降,但数小时后体温再次上升。孙女士被转入呼吸内科重症病房进行治疗。入室时,患者表情淡漠,呼吸频快,血气分析示I型呼吸衰竭,氧合指数仅200mmHg。胸部CT可见右肺多肺叶浸润,诊断为重症肺炎。

到底元凶是谁?管床住院医师于芬芳第一时间询问病史,原来今年正月十五元宵节,高淳的大集上家里的小孩通过套圈套来一只白色虎皮鹦鹉,活泼的小鸟一下成了全家的宠物,孙阿姨就成了饲养员。谁知道半月后,孙阿姨住院了。呼吸内科副主任谭焰、副主任医师陈玉宝结合患者的病史、影像学,初步判断不典型病原体,尤其是鹦鹉热衣原体感染可能性极大。
该院呼吸内科已成功抢救重症鹦鹉热衣原体10余例,医生给予多西环素抗感染,住院医师张静、主治医师常立功在第一时间给患者做了电子支气管镜检查,行支气管肺泡灌洗液做NGS,患者入院第二天热峰就从40℃降到38.8℃,表情淡漠、言语错乱均纠正,患者重新恢复了笑容,同时NGS结果回报“鹦鹉热衣原体”,患者及家属都竖起了大拇指,南京市第一医院呼吸与危重医学科真棒。当然那只鹦鹉家属已经连夜放回了大自然。

南京市第一医院呼吸内科主任医师谭焰表示,鹦鹉热又称为“鸟疫”,是一种人畜共患的传染病,由携带鹦鹉热衣原体的鸟类及禽类传染给人,最初发现本病多见于玩赏鹦鹉者,故命名为鹦鹉热。需要引起大家警惕。一般混于尘埃中的衣原体或感染性气溶胶可经由呼吸道引起吸入性感染;而接触带菌鸟或禽类及其污染的分泌、排泄物等,则可经有破损皮肤或黏膜以及消化道等多种途径获得感染。
鹦鹉热衣原体侵入人体后,潜伏期一般为7-15天,短者3天,最长可达45天。临床表现常见为高热、寒战、剧烈头痛、肌痛、干咳、呼吸困难和胃肠道反应,易有肺外器官的受累。频繁密切接触鸟与禽类的人群,为鹦鹉热衣原体感染的高危人群。要远离鹦鹉热:1,人们平时要尽量做到不要接触活鸟和活禽,注意保持饲养鸟禽的环境卫生,在清洁粪便时最好戴上口罩和手套;2,接触鸟与禽类的人群平时加强锻炼,保持健康的生活习惯,增强自身免疫功能;3,食用禽类时要彻底煮熟;4,接触鸟禽后出现发热等症状,应立即就医,同时把饲养接触鸟禽的情况告知医生,以便准确诊断,及时治疗。
(《零距离》记者/王华素 通讯员/李琨 编辑/玉洁)







公安备案号:32010202010067