今天(8月17日),记者从南京市第二医院了解到,最近该院心胸外科病房住进来一位患者李先生,左侧胸口处一个皮下肿块,直径大概有10cm,表皮完好无损。李先生介绍说:“皮下这么个小疙瘩我带了20年,一开始也就2cm,不痛不痒也不见长大,我就没注意。最近两年它逐渐开始长大了,当我意识到它增大的时候已经这么大了。”

冰山一角下暗藏危机,医患互信是动力
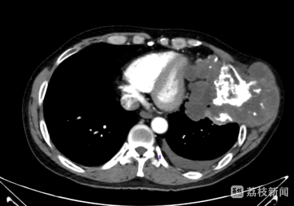
原来,20年前,李先生左侧胸口处就出现这一皮下肿物,直径约2cm,当时未予重视。近两年,患者自觉肿块较前增大,在当地医院就诊,查胸部CT提示:肿块大小约13*9.8*13cm,且对心脏有压迫,与膈肌分界不清。
行肿块穿刺活检,病理提示:软骨性肿瘤。当得知肿瘤又大又深,手术难度大、风险大,李先生顿感惊慌失措。多方打听后,来到南京市第二医院心胸外科寻求治疗。
心胸外科刘宏副主任医师接诊后,考虑该肿瘤起源于肋骨,虽穿刺病理提示软骨性肿瘤(一种良性肿瘤),但CT来看不排除恶性可能,穿刺存在取材不够误诊可能。且肿瘤体积较大,外侵周围脏器及组织可能,建议再次行胸壁肿物穿刺活检,如药物可控,可药物治疗待肿瘤缩小控制后完全切除。

与刘主任深入交流后,李先生怀着希望在心胸外科病房住下。行胸壁肿物穿刺活检术后,病理提示软骨性肿瘤,未见恶性肿瘤细胞。知晓该结果后,李先生更加焦虑了,因为肿瘤越来越大,仍然存在穿刺取材不够可能,手术切除的意愿越来越强烈。
同时,刘主任考虑肿瘤已经较大,耽误不得,当机立断决定手术切除。
经过充分沟通,刘主任表示,肿瘤本身的巨大,以及已经给心脏带来压迫,与膈肌分界不清,都让手术困难重重。为此,带着患者的信任,刘主任带领团队积极进行术前方案讨论,不断完善,应对术中可能发生的风险。
巨大肿瘤切除,排“雷”成功!
一切准备就绪后,刘主任认真细致、有条不紊地剥离出这个胸壁巨大肿瘤,肿瘤长径超过17cm,侵及心包、心包前脂肪组织、膈肌,受侵膈肌包块膈面胸膜结节予整块切除,保留膈面腹膜,受侵心包前脂肪组织及心包予切除,游离受侵肋弓,切除肋软骨,整块完整切除肿瘤。予以肿瘤切除后行左膈肌补片修补+胸壁重建术(钛网)。手术顺利完成。
李先生苏醒后,虽被告知手术只是第一关,因为胸壁缺损多、伤口长、有植入物,伤口愈合并不容易,但李先生仍然很开心,因为身体里这个大肿瘤终于完整切除了,这个地雷最终被排掉了。
手术后,李先生谨遵医嘱进行加强营养、早期活动,积极配合医护人员进行术后恢复锻炼。1周后,术后常规病理提示高分化软骨肉瘤(Ⅰ级)。
何为软骨肉瘤
刘主任介绍,软骨肉瘤是一种较常见的骨骼系统恶性肿瘤,约占全部原发恶性肿瘤的9.2%,常发生于骨盆及股骨。软骨肉瘤发生于肋骨等扁平骨也偶有报道。一般发生在肋骨的软骨肉瘤常常长到很大时才产生临床症状,而软骨肉瘤对放疗和化疗都不敏感,根治性手术切除是目前治疗软骨肉瘤的常用方法。
WHO 骨肿瘤分类中,根据肿瘤细胞的分化程度,将肿瘤细胞分为3 级: Ⅰ级表示肿瘤细胞分化程度高,恶性程度低,侵袭性小; Ⅲ级表示分化程度低,侵袭性强; Ⅱ级程度居中。
经过一周的术后加强营养并积极配合护理团队进行恢复锻炼,伤口愈合顺利,李先生顺利出院。
(来源:江苏公共新闻频道/汪乐萍 编辑/高若婷)







公安备案号:32010202010067