扬州市东区的陈大爷今年78岁了,老爷子平时没什么爱好就喜欢钓鱼。前几天,陈大爷又自个儿钓了几条鲫鱼,回家一高兴就炖着吃了,可是两天之后陈大爷腹痛难忍,到医院一检查,竟然有一根四五厘米长的鱼刺把大肠给刺穿了。

11月9日,记者在苏北医院见到了手术之后的陈大爷。大爷告诉记者,自己是四、五天前钓的鱼,当时吃鱼的时候也没有被卡的感觉。两天之后,大爷觉得不对劲了:胸口剧疼,肚子都不能碰了。

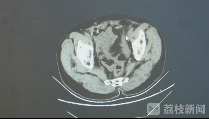
通过CT检查,医生很快发现了陈大爷肚子痛的根源,原来是鱼刺将大肠给刺穿了。医生介绍,乙状结肠主要用于存放大便,肠壁被刺穿后大便就会流入腹腔,危急生命。11月9日凌晨三点,医生紧急为陈大爷实施了手术,将鱼刺顺利取出。目前,陈大爷术后情况良好。
医生提醒,老年人和小孩吃鱼要格外小心,如果被鱼骨鸡骨等物卡住,千万不要强制下咽,要及时就医。
(来源:江苏广电融媒体新闻中心/李井文 编辑/韩瑜)







公安备案号:32010202010067
我要说两句