荔枝新闻专稿 编辑/龙斌 李燕 蔡正清 九月重阳,丹桂飘香,天高云淡,金风送爽,今天是传统的九九重阳节。每逢重阳节,为人子女大多带满礼物,回家探望老人,拳拳孝心,令人动容。与此同时,南京市第一医院骨科副主任,创伤专业梁斌主任也为各位老人送上节日礼物——重阳节健康提醒,祝愿老人们都能有一个幸福的晚年。
手术台上的93岁老人
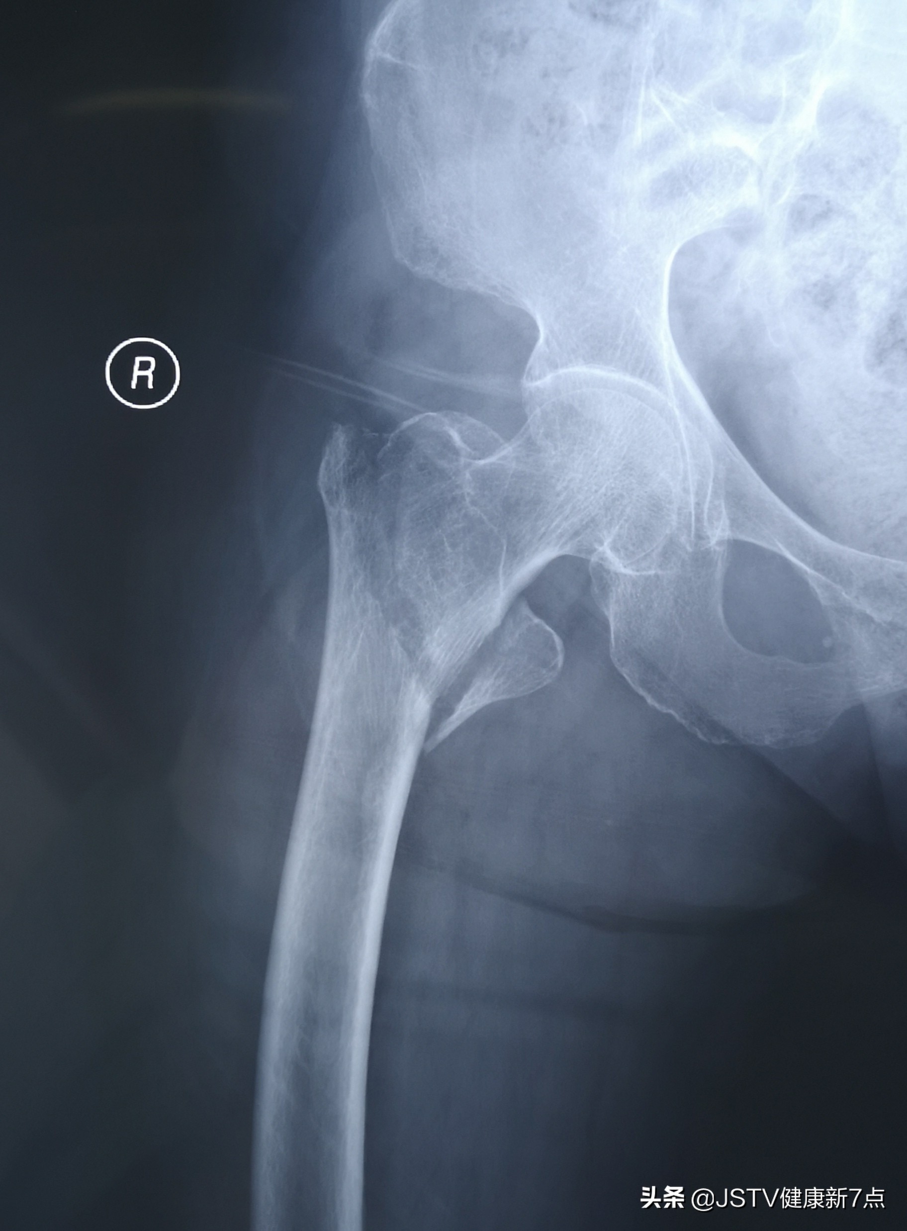
躺在手术台上的患者李奶奶,今年93岁高龄了。前几日在家中坐凳子时没坐稳,摔了一跤,右髋部疼痛伴活动受限,家里人马上拨打120,把李奶奶送到了南京市第一医院,骨科创伤专业主任梁斌主任接诊了她。
拍摄X线片后,梁主任发现李奶奶右大腿股骨骨折,诊断为右股骨粗隆间骨折。在仔细查询病史后得知,李奶奶患有高血压、糖尿病、冠心病,常年服用药物控制这些基础疾病,血压、血糖控制尚可,然而李奶奶毕竟是高龄老人,再加上有基础疾病,手术的难度相当大。
由于高龄老人身体机能的下降,所以高龄老人骨折的手术也一度被称为手术禁区。
患者股骨骨折的影像资料
人生的最后一次跌跤
高龄老人跌跤后发生骨折是一个很常见的现象,也常常被人们形容为,人生的最后一跤。
南京市第一医院骨科副主任,创伤专业主任梁斌医生告诉我们,这句话来源于欧美的一种说法,原话是髋部骨折是高龄老人临终前最后一次创伤。
我们可以这样理解,如果选择传统的保守治疗,意味着老人卧床做皮肤牵引以及穿钉子鞋,保守治疗一般至少需要6~8周,真正能下地负重行走可能要三个月以后。那么,在这么长的一段时间内,老年人长期卧床,就应了中国一句老话,叫“一病不起”。其实这“一病”指的并不是骨折,而是卧床导致的一系列的并发症。
比如说,痰咳不出来导致的急性肺炎,肠道功能紊乱导致的排便功能异常,躺着不动,血液循环就不通畅,随之而来的气血瘀滞,就可能导致下肢深静脉血栓。血栓一旦出现,在不恰当的活动或者做深呼吸咳嗽的时候,有可能使黏附在血管壁上的血栓脱落,随着静脉回流进入肺循环,再进入体循环,造成重要脏器的一些栓塞,比如说脑梗、心梗,而如果出现肺栓塞,更是致命。
还有一种情况是天热或者是护理不恰当,可能导致皮肤软组织的长期压迫,出现褥疮等等。
精益求精 勇于突破
一番探讨后,梁斌主任团队决定为93岁高龄的李奶奶实施右股骨粗隆间骨折闭合复位微创内固定术。该手术的优点在于,医生先通过牵引床在x射线下复位,在复位满意后进行微创内固定操作,手术一般在大腿外侧取三个切口,长度基本在2公分左右,通过髓内钉固定分离的骨折块,全程操作在x线引导下进行,微创手术出血少,患者损伤小,恢复快。
梁斌主任团队正在C型臂X光机下进行微创手术
然而闭合复位经皮固定术最大的难点是什么呢?骨科医生接骨头叫人骨拼图,有点类似于我们中国传统的技能——瓷器的修复,修复有两种,一种用锯钉,一种用金缮。
修复瓷器只需要将每一个瓷片拼接起来,但是骨科手术不一样,病患的骨折处没有显露在外,在切口小,在看不到骨折的具体情况下如何去接骨头呢?所以,骨科医生只能在cbx光机的引导下进行手术操作。从手术的定位,骨折的复位以及按标准流程一步步的将钉植入体内,都是非常精准的。所以说,射线就是骨科手术医生的眼睛,这是整个手术中最大的难点。
高龄老人手术成功
梁斌主任介绍,虽然高龄老人骨折的手术被称为手术禁区,而南京市第一医院骨科创伤专业团队却一步步的突破禁区,不断挑战,并从中积累了一整套治疗流程,已累计病例400余例,手术成功率比肩全国一流水平。
大约在2008年的时候,梁主任团队就与国外合作,开展了一系列微创手术操作。近十余年来,在微创的基础上,他们将技术又做了进一步的细化与提升,不仅微创,切口还越来越小,小到什么程度呢?也就是一个手指。当然这不是一个手指的长度,而是一个手指的宽度,也就是说,切口大约两公分左右就可以做到。
接下来在射线引导下,无需将骨折部位切开,在射线下引导医生们每一步微创的操作,也就是所谓的介入式的骨科创伤固定的手术,形成了一个标准化的流程。
“我们最初我记得08年的时候,做这种经皮微创的股骨转子间闭合复位内固定的时候,要一个半小时左右,我们花了10年的时间提升到15分钟。最近我的助手他们又把纪录打破了,7分钟就能完成这个手术,所以大家可以试想一下,微创手术快,那么基本上肉眼可见的出血可以控制在50毫升之内,出血量非常少。几个优势叠加,确保了我们手术能够顺利的完成。”
93岁高龄的李奶奶手术成功了,48小时候后,躺在病床上的老人露出了笑容,包括护理、麻醉、手术室等所有医护团队也放心的笑了……
93岁患者术后照片
老人防跌 重阳节贴心建议
跌伤,在国内外都是导致65岁老人入院的重要致病因素,国内外都比较重视,世界卫生组织更是针对防跌伤给出了指南。
第一,请老人回忆自己有没有跌倒过?
第二,跌伤的原因是什么?找到相关的潜在危险因素。
第三,我们要如何应对或者防止跌伤。
第四,是如何的落实。对老人和其家庭以及社会来说,防跌伤都非常重要。
今天是九九重阳节,梁斌主任也给老人提出了一些贴心的建议,包括生活中防止跌倒要怎么做,一旦骨折需要如何处理,您可要看好了。
第一,通过各种渠道,了解或者增进防跌的意识。
第二,保持健康的低强度运动,比如说打太极。
第三,有老人的家庭,应对家庭周围的生活环境做一些排查,注意家里有没有高低不平的地方,比如说楼梯、卫生间、阳台、门槛、推拉门,地毯的褶皱也有可能会导致跌伤。
第四,老年人要梳理一下吃了哪些药,建议到医院咨询医生,有部分药物会导致神志意识不清,甚至是记忆力的下降。
第五,注意天气变化。重阳节时分,天气转冷秋雨绵绵,即将进入冬季,少不了路面湿滑,老年人一定要穿些软底的,抓地力比较好的鞋子,防止跌倒。
最后,祝福天下所有老人身体康泰,幸福重阳!






公安备案号:32010202010067