11月1日14时许,在呼和浩特市鄂尔多斯大街金宇广场的一家培训机构内,23岁的英语老师杜某向到场的家长们鞠躬致歉。从10月10日起,杜某仅仅为了延长休假托人伪造了他身患肺结核的胸片、诊断证明书、诊断意见书以及全套病历和票据,并提交给单位请假,不料闯了大祸。
由于肺结核具有很强的传染性,事件引发了班上18名与他近距离接触的5岁左右幼童家长的恐慌。10月10日至10月31日间,由校方支付费用,班里的家长们紧急带着各自的孩子奔赴各大医院进行结核菌素化验,18名儿童中竟有2名儿童的结核菌试验报告单呈阳性,家长们纷纷站出来表示要维权。眼看事态扩大,校方经过走访也已经发现杜某伪造病历的细节,杜某不得已,站出来向家长们澄清:“我没病。”

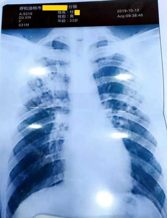
杜某找人伪造的胸片显示他得了严重的肺结核
杜某的说法,家长们表示不相信。一位吴姓家长告诉记者,由于杜某平时性情温和,和孩子们玩的比较好,孩子们经常粘在他周围,而且杜某最近一段时间身体不好,经常咳嗽,她非常担心孩子传染上疾病。现场也有家长质疑,为什么班里2名儿童的结核菌试验报告单呈阳性,是不是校方为了推卸责任,授意杜某说谎。
当日下午,为了验证杜某的说法,由家长指定医院和医生,大家带着杜某去拍了胸片,并做了痰化验。诊断意见为,胸部平片未见异常。胸片也与杜某之前提供的胸片完全不同。

杜某的真实检查结果显示他并没有患上肺结核
两次检查结果为什么截然相反?按照杜某的说法,10月初他患上了感冒,拖着拖着国庆假期就结束了,希望假期可以长一点,就对单位谎称自己得了肺结核。10月25日,他已经在家休息两周了,单位向他催要医院的检查和诊断相关资料。他上网找人伪造了呼和浩特市某医院的“门诊病历记录”“诊断证明书”“放射检查报告单”等,并提交给单位,共花费480元。10月28日,看到事态严重,他又在网上花费320元,找人做了检查单和诊断证明,证明他“复查肺结核基本康复,痰检呈阴性,无传染性。”怕家长们不信,杜某还把他交易的聊天记录给家长看了。记者通过聊天记录看到,杜某在网上找的人微信名为“老实人”,头像是一个医生,此人神通广大,可以伪造首府各家医院的诊断报告。这些检查和诊断相关资料均从湖南长沙快递至呼和浩特。杜某称,他不了解肺结核病的严重性,也缺乏法律常识,一个谎言怕被揭穿,就想办法用更多谎言来圆,最终酿成了重大的问题。

杜某在网上找人伪造病历的部分聊天记录

杜某将伪造的患病材料提交给单位的截图
至于2名儿童的结核菌试验报告单呈阳性的问题,经进一步做胸片检查,2名儿童都没有患上肺结核,医生分析检测结果也可能受到一些其他因素的干扰,呈现“假阳性”。家长发现,这么多天以来,请着假、冒着被传染的风险带孩子去传染病医院检查是否得了肺结核,孩子哭得撕心裂肺,家长心疼得掉眼泪,最后竟然是一场90后教师为了延长假期自编自导的闹剧。

杜某在家长群中道歉并说明情况
家长张女士认为,这件事,学校有很大的责任,她说:“学校的责任不仅仅是失察和选人用人的失误,而是管理上有重大疏漏,管理体制不健全、不规范,学校的老师从来不做定期体检,杜老师说他入职三年只有入职时候做过体检,我们也没有见到入职体检报告。作为一个教授语言的教育机构,面对的都是低龄且免疫力极低的儿童,授课方式都是面对面接触,每次上课都在那么小的一个密闭空间,竟然不做体检,这就是对家长和孩子严重不负责任的态度。作为教育机构,对自己的员工监管不力,没有履行合规的请假流程,不关注和跟踪员工的状态,导致所有家长请着假耽误着工作冒着孩子被传染的风险陪学校玩了这么大一场闹剧。学校在处理这件事情的方式上严重错误和不当。目前的结果只能说明杜老师现在没病,不能证明其他,谁能保证我们的孩子就是安全的?谁能保证我们的孩子不存在其他方面的隐患。”

突如其来的闹剧让家长引发了孩子在密闭空间上课的安全担忧
对于家长的说法,该培训机构的张女士告诉记者:“已经说明了真相,消除了家长的恐慌。现在我正在一家一家地去和家长交流,听听他们的意见和诉求,努力解决问题,让家长满意。”






公安备案号:32010202010067