川流不息的车道上,碰瓷大片每日都在上演。无论刮风下雨冰雹下雪都挡不住这群忠实“实力派演员”的即兴表演。

近日盐城警方通过缜密侦查,将一伪造伤情进行“碰瓷”诈骗团伙抓获归案。
案情回顾
“蹊跷”的交通事故被“私了”
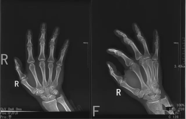
2017年8月28日上午,张某在盐都区秦南镇境内某路段正常骑行电瓶三轮车时,其身后一自行车突然跌倒,当时自行车车主王某一口咬定他就是被张某的电瓶三轮车碰倒,迫于无奈,张某便先带“伤者”王某到附近的医院就诊。
不查不知道,一查吓一跳!经检查王某的右手手指骨折,初步预估整个治疗费用要一、两万元。这个时候,一个自称是“伤者”表哥刘某也赶到了医院,刘某赶到医院后吵嚷着逼张某赔钱,同时提出也可以“私了”。

张某已经60多岁,且不是盐都本地人。经协商,张某同意一次性赔偿王某5000元整,王某也承认其“受伤”一事就此解决。随后,王某的表哥刘某还陪张某去银行取了5000元现金,张某回到医院将刚取出的5000元现金交给“伤者”王某,随后便独自离开。
受害人事后“回神”急忙报警
“赔”完钱回到家后的张某越想越不对劲,自己好好的开电瓶三轮车,怎么就碰到人了?真碰到人的话怎么就骨折了?真骨折的话对方怎么就轻易私了了?张某慢慢感觉到自己可能是被人“下套”了,当天下午便到秦南派出所报警。
接警后,民警迅速前往医院开展调查工作,但王某等人都不见踪影,其在医院里面使用的也是假名,初步断定这是一起有预谋的团伙诈骗案件。
侦办掠影
刑警慧眼识破“碰瓷”诡计
案发后,嫌疑人早已无影无踪,但天下没有完美的犯罪,嫌疑人只要作了案,总会留下些蛛丝马迹。刑侦民警通过对盐都各乡镇及其周边县市区类似警情的梳理,串并了多起类似手段的“碰瓷”诈骗案件,并通过对重点区域、重点路段的大量走访工作,还发现了一批当时并未报警的受害人。

耐心细致的侦查员通过逐层梳理,逐步掌握了该“碰瓷”诈骗犯罪团伙的人员组成和组织分工。初步查明该犯罪团伙在近一年多的时间内,伪造伤情,连续窜至盐都、亭湖、建湖、射阳、滨海以及淮安、安徽、浙江等地,以“碰瓷”诈骗的方式疯狂作案,且没有收手的迹象。
民警迅速抓获犯罪团伙
2018年1月11日中午,早已跟踪嫌疑车辆多时的侦查员,在盐城市204国道和青年路十字路口处果断出击,侦查员的车辆一前一后锁死嫌疑车辆,成功将在车内的四名犯罪嫌疑人一举抓获。

在查获的面包车内,现场查获了其作案用的自行车,同时车内还有犯罪嫌疑人使用的日常洗漱用品等。

当天该犯罪团伙在亭湖境内故技重施,刚骗得受害人现金4000元,在逃离现场的路上即被盐都刑侦民警抓获,其中一名犯罪嫌疑人因碰瓷诈骗早已被浙江警方列为网上逃犯。

四名犯罪嫌疑人到案后,交代了其自2016年年底起,多次窜至江苏、安徽、浙江等省的多个县市区,以“碰瓷”诈骗的方式疯狂作案,现已查明骗得受害人现金数万元,目前案件正在进一步办理之中。
警方提示:
1、该“碰瓷”诈骗团伙中的“伤者”,自行制造其手指骨折,并在伤情恢复期间,频繁伪造交通事故,实施“碰瓷”诈骗,其作案手段隐蔽、误导性强。
2、遇到交通事故,最关键的还是要第一时间报警,尤其是在对方伤情较重的情况下,切不可随意“私了”,以免给居心不良之人可乘之机;






公安备案号:32010202010067
我要说两句